Lisfranc Injury Surgery / Lisfranc Surgery | FootCareMD

After LisFranc Surgery: Frustrated with lisfranc recovery ...
Lisfranc Injury Surgery

However, injury to the lisfranc joint is not a simple sprain that should be simply walked off. it is a severe injury that may take many months to heal and may require surgery to treat. Now automobile accidents, falls and sport injuries can also lead to an injury on the lisfranc joint. Your foot and ankle orthopaedic surgeon may recommend surgery for a lisfranc injury if your midfoot joints are not lined up anatomically. We would like to show you a description here but the site won't allow us.

The injury is named after jacques lisfranc de st. Jul 01, 1998 · lisfranc joint complex injury can occur as a result of direct or indirect trauma.3, 11 direct trauma occurs when an external force strikes the foot. The injury was caused when soldiers were thrown of their horses and their foot was stuck into the stirrup. Injury mechanisms are varied and include direct crush injury or an indirect load onto a plantarflexed foot 3. The lisfranc ligament is a strong band attaching the medial cuneiform to the 2 nd metatarsal base on the foot's plantar aspect. A lisfranc injury, also known as lisfranc fracture, is an injury of the foot in which one or more of the metatarsal bones are displaced from the tarsus.

Lisfranc Injury on Twitter: ""@OrthopedicsTkro: Athletic ...
Lisfranc Injury on Twitter: ""@OrthopedicsTkro: Athletic ... from pbs.twimg.com
Your foot and ankle orthopaedic surgeon may recommend surgery for a lisfranc injury if your midfoot joints are not lined up anatomically. A lisfranc injury, also known as lisfranc fracture, is an injury of the foot in which one or more of the metatarsal bones are displaced from the tarsus. Some injuries of this type may require emergency surgery. With indirect trauma, force is transmitted to. They can take a long time to heal and may also require surgery. A lisfranc injury, also known as lisfranc fracture, is an injury of the foot in which one or more of the metatarsal bones are displaced from the tarsus. Complications can and often arise following lisfranc injuries. The injury was first noticed in the early 1800s by the french surgeon jacques lisfranc. Aug 24, 2017 · a lisfranc fracture is a type of bone fracture that occurs in the middle of the foot, affecting ligaments and metatarsals. Injury mechanisms are varied and include direct crush injury or an indirect load onto a plantarflexed foot 3. The injury is named after jacques lisfranc de st. Diagnosis is confirmed by radiographs which may show widening of the interval between the 1st and 2nd ray.

Your foot and ankle orthopaedic surgeon may recommend surgery for a lisfranc injury if your midfoot joints are not lined up anatomically.

The lisfranc ligament is a strong band attaching the medial cuneiform to the 2 nd metatarsal base on the foot's plantar aspect. Some injuries of this type may require emergency surgery. The injury was caused when soldiers were thrown of their horses and their foot was stuck into the stirrup. A lisfranc injury, also known as lisfranc fracture, is an injury of the foot in which one or more of the metatarsal bones are displaced from the tarsus. Aug 24, 2017 · a lisfranc fracture is a type of bone fracture that occurs in the middle of the foot, affecting ligaments and metatarsals. They can take a long time to heal and may also require surgery. A lisfranc injury, also known as lisfranc fracture, is an injury of the foot in which one or more of the metatarsal bones are displaced from the tarsus. Diagnosis is confirmed by radiographs which may show widening of the interval between the 1st and 2nd ray. The goals of lisfranc surgery are to put the bones back into their original position and restore the foot's normal alignment. Injury mechanisms are varied and include direct crush injury or an indirect load onto a plantarflexed foot 3. A lisfranc injury is often mistaken for a simple sprain, especially if the injury is a result of a straightforward twist and fall.

With indirect trauma, force is transmitted to. Your foot and ankle orthopaedic surgeon may recommend surgery for a lisfranc injury if your midfoot joints are not lined up anatomically. Its integrity is crucial to the stability of the lisfranc joint.

Lisfranc Injuries Of The Foot: An Injury You Must Respect ...
Lisfranc Injuries Of The Foot: An Injury You Must Respect ... from www.howardluksmd.com
Diagnosis is confirmed by radiographs which may show widening of the interval between the 1st and 2nd ray. They can take a long time to heal and may also require surgery. Now automobile accidents, falls and sport injuries can also lead to an injury on the lisfranc joint. A lisfranc injury, also known as lisfranc fracture, is an injury of the foot in which one or more of the metatarsal bones are displaced from the tarsus. A possible early complication following the injury is compartment syndrome, in which pressure builds up within the tissues of the foot, requiring immediate surgery to prevent tissue damage. However, injury to the lisfranc joint is not a simple sprain that should be simply walked off. it is a severe injury that may take many months to heal and may require surgery to treat. Some injuries of this type may require emergency surgery. The goals of lisfranc surgery are to put the bones back into their original position and restore the foot's normal alignment. The lisfranc ligament is a strong band attaching the medial cuneiform to the 2 nd metatarsal base on the foot's plantar aspect. We would like to show you a description here but the site won't allow us. Aug 24, 2017 · a lisfranc fracture is a type of bone fracture that occurs in the middle of the foot, affecting ligaments and metatarsals. The injury was first noticed in the early 1800s by the french surgeon jacques lisfranc.

Complications can and often arise following lisfranc injuries.

Injury mechanisms are varied and include direct crush injury or an indirect load onto a plantarflexed foot 3. The injury is named after jacques lisfranc de st. A lisfranc injury, also known as lisfranc fracture, is an injury of the foot in which one or more of the metatarsal bones are displaced from the tarsus. The injury was first noticed in the early 1800s by the french surgeon jacques lisfranc. A lisfranc injury is a tarsometatarsal fracture dislocation characterized by traumatic disruption between the articulation of the medial cuneiform and base of the second metatarsal. A possible early complication following the injury is compartment syndrome, in which pressure builds up within the tissues of the foot, requiring immediate surgery to prevent tissue damage. Aug 24, 2017 · a lisfranc fracture is a type of bone fracture that occurs in the middle of the foot, affecting ligaments and metatarsals. We would like to show you a description here but the site won't allow us. Diagnosis is confirmed by radiographs which may show widening of the interval between the 1st and 2nd ray. However, injury to the lisfranc joint is not a simple sprain that should be simply walked off. it is a severe injury that may take many months to heal and may require surgery to treat. With indirect trauma, force is transmitted to. The injury was caused when soldiers were thrown of their horses and their foot was stuck into the stirrup. A lisfranc injury is often mistaken for a simple sprain, especially if the injury is a result of a straightforward twist and fall.

A possible early complication following the injury is compartment syndrome, in which pressure builds up within the tissues of the foot, requiring immediate surgery to prevent tissue damage. Your foot and ankle orthopaedic surgeon may recommend surgery for a lisfranc injury if your midfoot joints are not lined up anatomically. The injury was caused when soldiers were thrown of their horses and their foot was stuck into the stirrup. Complications can and often arise following lisfranc injuries. A lisfranc injury, also known as lisfranc fracture, is an injury of the foot in which one or more of the metatarsal bones are displaced from the tarsus. The injury is named after jacques lisfranc de st. The goals of lisfranc surgery are to put the bones back into their original position and restore the foot's normal alignment.

Lisfranc Fracture | studying.... | Pinterest | Lisfranc ...
Lisfranc Fracture | studying.... | Pinterest | Lisfranc ... from s-media-cache-ak0.pinimg.com
Your foot and ankle orthopaedic surgeon may recommend surgery for a lisfranc injury if your midfoot joints are not lined up anatomically. Now automobile accidents, falls and sport injuries can also lead to an injury on the lisfranc joint. Jul 01, 1998 · lisfranc joint complex injury can occur as a result of direct or indirect trauma.3, 11 direct trauma occurs when an external force strikes the foot. A lisfranc injury is often mistaken for a simple sprain, especially if the injury is a result of a straightforward twist and fall. We would like to show you a description here but the site won't allow us. However, injury to the lisfranc joint is not a simple sprain that should be simply walked off. it is a severe injury that may take many months to heal and may require surgery to treat. With indirect trauma, force is transmitted to. A lisfranc injury is a tarsometatarsal fracture dislocation characterized by traumatic disruption between the articulation of the medial cuneiform and base of the second metatarsal. The lisfranc ligament is a strong band attaching the medial cuneiform to the 2 nd metatarsal base on the foot's plantar aspect. Diagnosis is confirmed by radiographs which may show widening of the interval between the 1st and 2nd ray. Aug 24, 2017 · a lisfranc fracture is a type of bone fracture that occurs in the middle of the foot, affecting ligaments and metatarsals. The injury is named after jacques lisfranc de st.

A possible early complication following the injury is compartment syndrome, in which pressure builds up within the tissues of the foot, requiring immediate surgery to prevent tissue damage.

Aug 24, 2017 · a lisfranc fracture is a type of bone fracture that occurs in the middle of the foot, affecting ligaments and metatarsals. Some injuries of this type may require emergency surgery. The injury was first noticed in the early 1800s by the french surgeon jacques lisfranc. A lisfranc injury, also known as lisfranc fracture, is an injury of the foot in which one or more of the metatarsal bones are displaced from the tarsus. Diagnosis is confirmed by radiographs which may show widening of the interval between the 1st and 2nd ray. We would like to show you a description here but the site won't allow us. Its integrity is crucial to the stability of the lisfranc joint. The injury is named after jacques lisfranc de st. A possible early complication following the injury is compartment syndrome, in which pressure builds up within the tissues of the foot, requiring immediate surgery to prevent tissue damage. The injury was caused when soldiers were thrown of their horses and their foot was stuck into the stirrup. The goals of lisfranc surgery are to put the bones back into their original position and restore the foot's normal alignment. The lisfranc ligament is a strong band attaching the medial cuneiform to the 2 nd metatarsal base on the foot's plantar aspect. However, injury to the lisfranc joint is not a simple sprain that should be simply walked off. it is a severe injury that may take many months to heal and may require surgery to treat. Now automobile accidents, falls and sport injuries can also lead to an injury on the lisfranc joint. They can take a long time to heal and may also require surgery.

With indirect trauma, force is transmitted to lisfranc injury. The lisfranc ligament is a strong band attaching the medial cuneiform to the 2 nd metatarsal base on the foot's plantar aspect.
Lisfranc Injury Surgery : Eastern Foot Care | Injury to the Lisfranc Ligament - what ...

The goals of lisfranc surgery are to put the bones back into their original position and restore the foot's normal alignment.

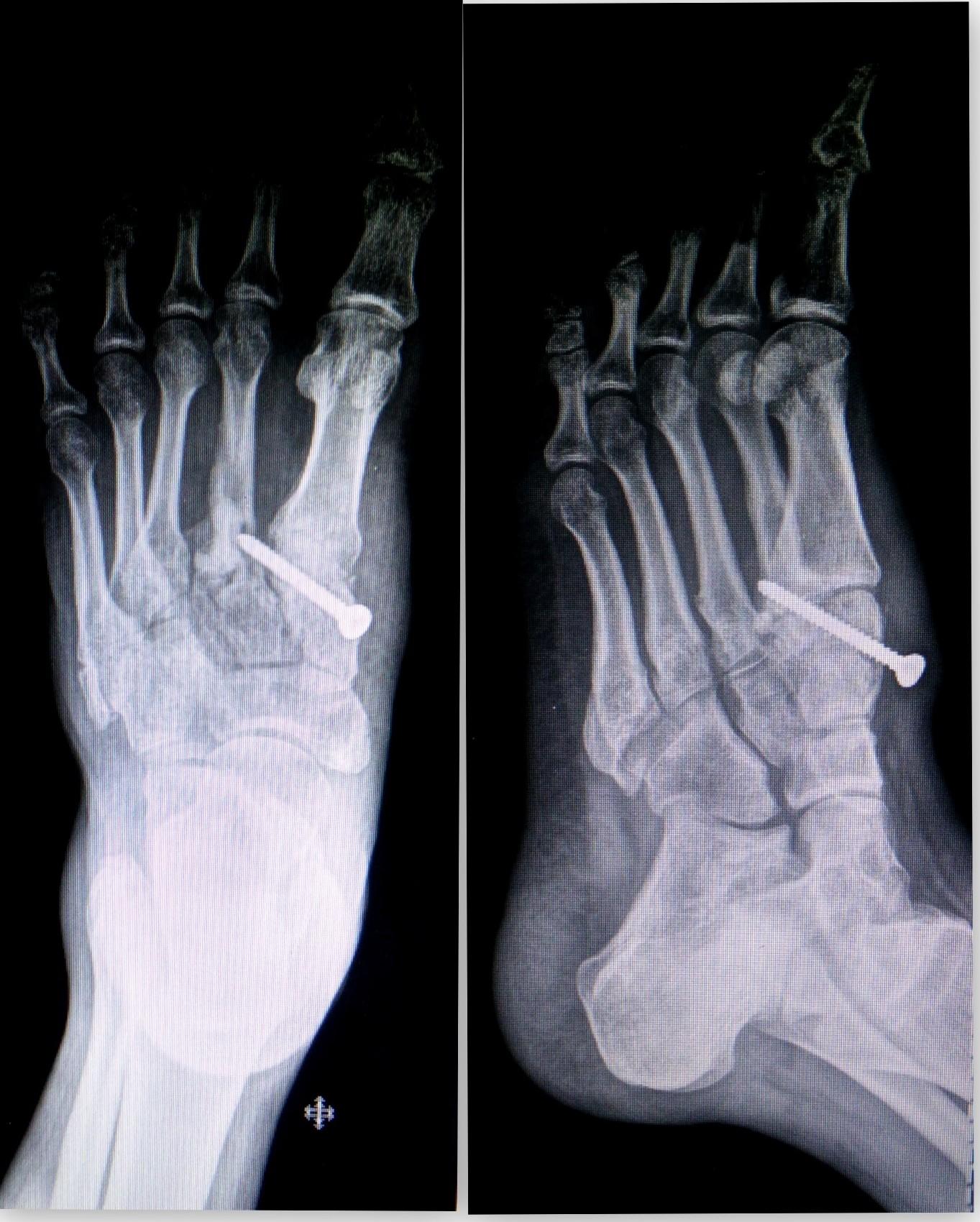
Lisfranc Injury Surgery : Screw fixation for a Lisfranc injury | Download Scientific ...

Diagnosis is confirmed by radiographs which may show widening of the interval between the 1st and 2nd ray.

Lisfranc Injury Surgery : www.lisfranc.ca - Lisfranc Fracture / Injury Blog ...

The injury is named after jacques lisfranc de st.

Lisfranc Injury Surgery : After LisFranc Surgery: 14 Weeks post lisfranc surgery

We would like to show you a description here but the site won't allow us.

Lisfranc Injury Surgery : My Rugby / Lisfranc Injury Experience and Recovery - YouTube

They can take a long time to heal and may also require surgery.

Lisfranc Injury Surgery . Lisfranc Surgery | FootCareMD

We would like to show you a description here but the site won't allow us.

Lisfranc Injury Surgery . The 25+ best Lisfranc injury ideas on Pinterest | 13 may ...

We would like to show you a description here but the site won't allow us.

Lisfranc Injury Surgery . Lisfranc Post-Operative Rehabilitation | Bend + Mend ...

A lisfranc injury is a tarsometatarsal fracture dislocation characterized by traumatic disruption between the articulation of the medial cuneiform and base of the second metatarsal.

Lisfranc Injury Surgery . Miami Heat Udonis Haslem Season is Likely Over

Jul 01, 1998 · lisfranc joint complex injury can occur as a result of direct or indirect trauma.3, 11 direct trauma occurs when an external force strikes the foot.

Lisfranc Injury Surgery . Figure 1B -Lisfranc Injury -x-ray image Normal vs Injured ...

Your foot and ankle orthopaedic surgeon may recommend surgery for a lisfranc injury if your midfoot joints are not lined up anatomically.

Lisfranc Injury Surgery - Lisfranc Injury to the foot Part 3 Post Surgery - YouTube

A lisfranc injury is often mistaken for a simple sprain, especially if the injury is a result of a straightforward twist and fall.

Lisfranc Injury Surgery - Lisfranc Injury | Innovative Lisfranc Injury Technology ...

With indirect trauma, force is transmitted to.

Lisfranc Injury Surgery : Divergent Lisfranc injury with dislocation of great toe ...

With indirect trauma, force is transmitted to.

Lisfranc Injury Surgery . After LisFranc Surgery: New technology for Lisfranc ...

We would like to show you a description here but the site won't allow us.

Lisfranc Injury Surgery : MY LISFRANC INJURY & SURGERY RECOVERY (Informational Video ...

Diagnosis is confirmed by radiographs which may show widening of the interval between the 1st and 2nd ray.

Lisfranc Injury Surgery . Episode 76.0 - The Lisfranc Injury - Core EM

Now automobile accidents, falls and sport injuries can also lead to an injury on the lisfranc joint.

Lisfranc Injury Surgery - Lisfranc Injury - Sports Injuries, treatment and ...

With indirect trauma, force is transmitted to.

Lisfranc Injury Surgery - Cam Newton has football fans asking what a Lisfranc sprain ...

Complications can and often arise following lisfranc injuries.

Lisfranc Injury Surgery . Lisfranc Injuries - Core EM

Complications can and often arise following lisfranc injuries.

Lisfranc Injury Surgery : Lisfranc Injury to the foot Part 3 Post Surgery - YouTube

Your foot and ankle orthopaedic surgeon may recommend surgery for a lisfranc injury if your midfoot joints are not lined up anatomically.

Lisfranc Injury Surgery . Lisfranc Injury | Laser Foot Surgery Centers

The injury is named after jacques lisfranc de st.

Lisfranc Injury Surgery : Lisfranc (Midfoot) Injury-OrthoInfo - AAOS | Lisfranc ...

Jul 01, 1998 · lisfranc joint complex injury can occur as a result of direct or indirect trauma.3, 11 direct trauma occurs when an external force strikes the foot.

Lisfranc Injury Surgery . Lisfranc Injury Not Such a Big Deal for NFL? | Healing Feet

With indirect trauma, force is transmitted to.

Lisfranc Injury Surgery - Lisfranc Injury pre surgery day of accident | Lisfranc ...

A lisfranc injury, also known as lisfranc fracture, is an injury of the foot in which one or more of the metatarsal bones are displaced from the tarsus.

Lisfranc Injury Surgery . Lisfranc Injury Blog | An injury named after a frenchman

A lisfranc injury is often mistaken for a simple sprain, especially if the injury is a result of a straightforward twist and fall.

Lisfranc Injury Surgery : Lisfranc Injuries - EMbeds.co.uk

The injury is named after jacques lisfranc de st.

Lisfranc Injury Surgery - Fantasy Football, Matt Cassel and why a Lisfranc's ...

Aug 24, 2017 · a lisfranc fracture is a type of bone fracture that occurs in the middle of the foot, affecting ligaments and metatarsals.

Lisfranc Injury Surgery : How My Lisfranc Injury Happened - Miel and Mint

They can take a long time to heal and may also require surgery.

Lisfranc Injury Surgery - Lisfranc Injury on Twitter: ""@OrthopedicsTkro: Athletic ...

They can take a long time to heal and may also require surgery.

Lisfranc Injury Surgery : After LisFranc Surgery: Lisfranc surgery scar

A lisfranc injury is a tarsometatarsal fracture dislocation characterized by traumatic disruption between the articulation of the medial cuneiform and base of the second metatarsal.

Lisfranc Injury Surgery : After LisFranc Surgery: October 2013

The injury was first noticed in the early 1800s by the french surgeon jacques lisfranc.

Lisfranc Injury Surgery . new technology for Lisfranc surgery | lisfrancblog

Some injuries of this type may require emergency surgery.

Lisfranc Injury Surgery : Lisfranc letsel

Injury mechanisms are varied and include direct crush injury or an indirect load onto a plantarflexed foot 3.

Lisfranc Injury Surgery - After Lisfranc Surgery, my self decorated sneakers | Sneakers

With indirect trauma, force is transmitted to.

Lisfranc Injury Surgery : Footnotes: My LisFranc Injury and the Road to Recovery ...

Jul 01, 1998 · lisfranc joint complex injury can occur as a result of direct or indirect trauma.3, 11 direct trauma occurs when an external force strikes the foot.

Lisfranc Injury Surgery - LIZ Who...? What is the lisfranc joint all about - Fluid ...

With indirect trauma, force is transmitted to.

Lisfranc Injury Surgery - Jake Locker Scheduled For Lisfranc Fracture Surgery Today ...

A lisfranc injury is often mistaken for a simple sprain, especially if the injury is a result of a straightforward twist and fall.

Lisfranc Injury Surgery - After LisFranc Surgery: 12 weeks post lisfranc surgery X-rays

Diagnosis is confirmed by radiographs which may show widening of the interval between the 1st and 2nd ray.

Posting Komentar

0 Komentar